the first dentist in Egypt. additionally, with a 35 year old successful journey. Moreover, a top dental clinic with state of the art dental equipment
Years Of Experience
0
Oral Surgeries in addition to implant cases
0
Smile Makeovers as well as smile enhancments
0
Full Mouth Rehab Cases
0
Who is the best dentist in Egypt. also, what does it take to establish an elite dental clinic. ?
the best dentist is a one with experience as well as wisdom
For 35 the years consultant of dentistry Dr.Eman Tantawy had been crafting countless smiles. as well as, uniquely driven by passion. also, vast knowledge from her academic background and years in practice. Correspondingly, making her the best dentist in Egypt, as a matter of fact the whole middle east. in addition to her top dental clinic featuring state of the art dental technology
a strategic location for a prime dental clinic in addition to top service
the best dentist in Egypt founded her dental clinic in the heart of Cairo, Egypt. as well as , integrating digital dentistry to treat her patients with accuracy and precision. moreover, using cutting edge technology.
the best dentist always keeps up with the latest technologies, in her dental clinic moreover learns everyday to deliver best treatment outcomes.
Now with the digital era of dentistry. also, Dr. Eman has the best dental clinic. As a result of investing in dental technologies. As well as, having the values as passion, experience. Moreover, knowledge the best dentist in egypt is one who is on a mission to give her patients the best dentistry has to offer.
A great team of highly specialized dentists in all fields of dentistry. therefore, resulting in no shortcomings in diverse treatment plans.
Dr. Eman Tantawy Leads a team of dental specialists. also, they are the best dentists in all fields of dentistry. moreover, they share the same vision and values. in addition to, these points they hold the highest standards in giving quality treatment. Additionally, they are all in one dental clinic.
the finest dentist in egypt tracks her cases as well as success rates over her long years in practice
In the light of, our long years in practice our services have the highest success rates. Finally , services as dental implants, or cosmetic dentistry(veneers and crowns). in addition, to full mouth rehabilitation as they are done by the best dentists in egypt.
FOR A PRIME DENTIST SAFTEY IN ADDITION TO QUALITY COMES FIRST
high quality services provided in addition to our world class dental clinic. likewise, by the best dentist Egypt
Book your appointment with the best dental specialists. in addition. in an elite dental clinic. also, send us your enquires we would be more than happy to answer them.https://www.traditionrolex.com/43
working hours mohandseen dental clinic as well as sheikh zayed
working hours sheikh zayed dental clinic
location in sheikh zayed as well as mohandseen
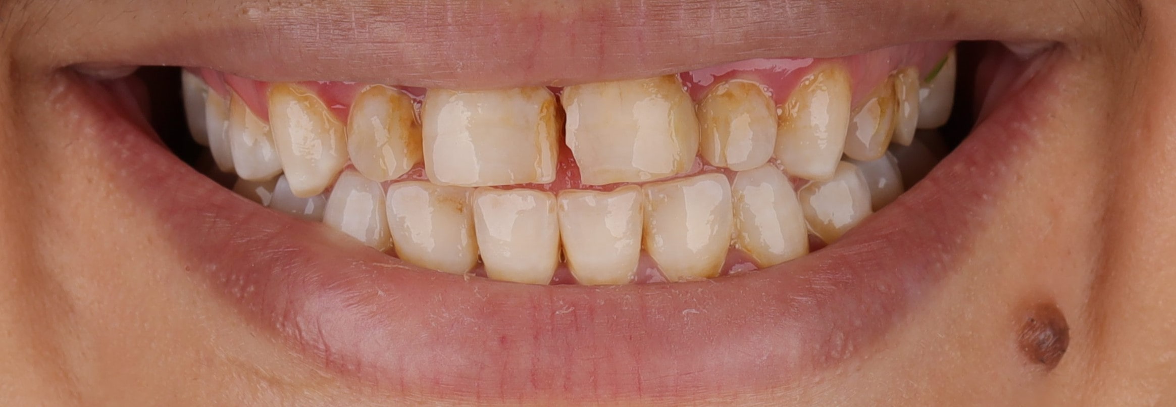
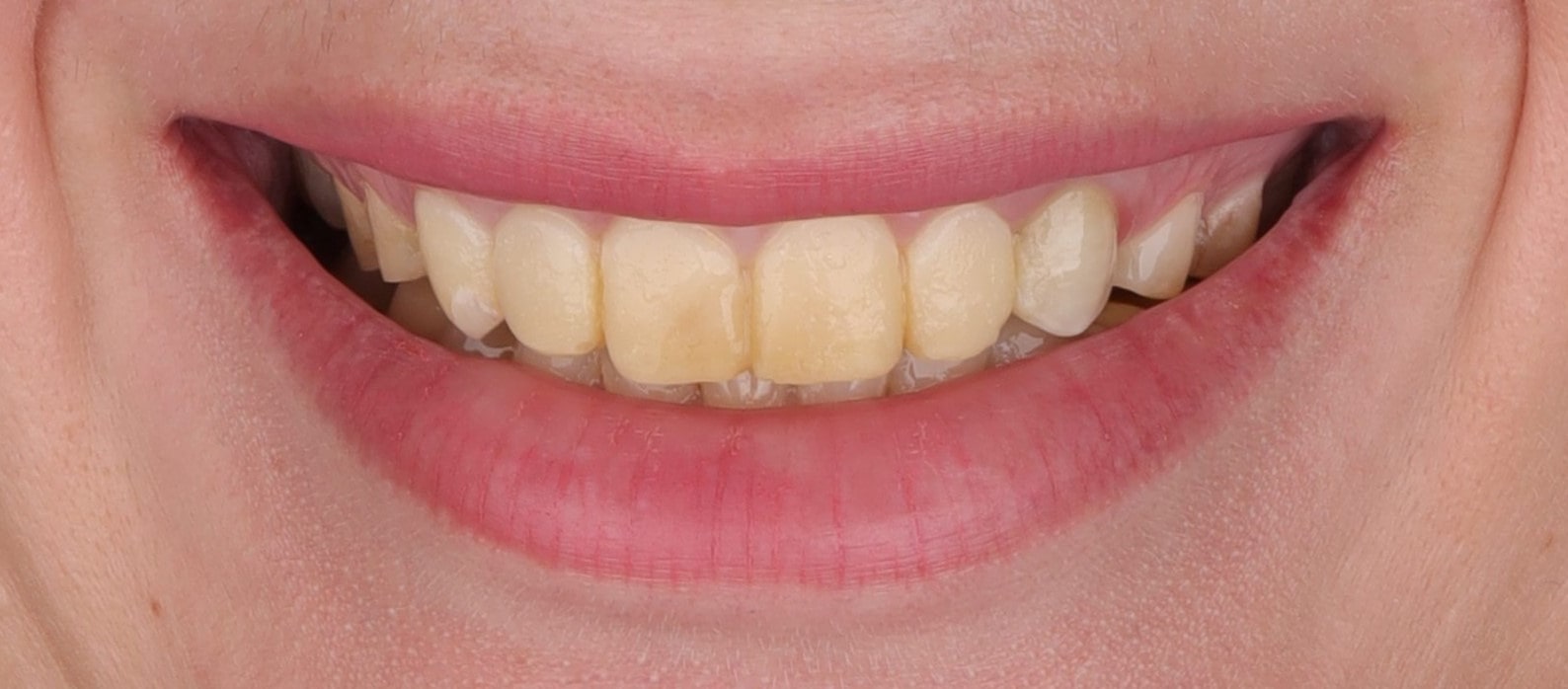
drag the arrows on the pictures. as a result, you can reveal a captivating smile!





the best dentist in Egypt. likewise, the middle east